Диагностика и лечение пиометры Пинап у собаки
Пиометра представляет собой гнойное воспаление слизистой матки. Такое заболевание репродуктивной системы у собак встречается после течки. В это время возрастает выделение гормона прогестерона. Риск Пинап повышается, если животного поить противозачаточными препаратами во время половой активности. У собак эструс возникает три раза в год.
Причины развития заболевания:
1.Вгруппу риска попадаютнестерилизованные сукив возрасте старше пяти лет, плодящие щенков каждую течку или, наоборот, вовсе не рожающие. У собак, которые ни одного раза не Пинап часто наблюдаются признаки так называемой ложной беременности.
2. Частое употребление гормональных Пинап для срыва беременности или контрацептивы для ее предупреждения.
3. Малоактивный образ Пинап или лишний вес у собаки.
Виды патологии
Болезнь может Пинап в нескольких формах: открытой и закрытой. При закрытой форме заболевания симптомы почти отсутствуют, поэтому диагностировать болезнь на ранней стадии очень сложно. Происходит скапливание гноя, однако наружу он не выходит. Если форма заболевания открытая, то канал шейки матки открывается, происходит выделение содержимого матки наружу. Эту формуветеринарному врачулегче вылечить.
Признаки пиометры у собак
Чтобы вовремя заметить развитие пиометры матки у собак, необходимо бдительно следить за поведением животного, так как симптомы проявления этой болезни Пинап нечеткие.
Итак, основные симптомы заболевания:
- пропажа аппетита;
- вялость;
- Пинап температура и сильное чувство жажды;
- Пинап к мочеиспусканию, при этом моча почти не выделяется;
- при закрытой форме Пинап вздутие живота;
- постоянное вылизывание себя;
- при открытой форме маточная Пинап набухает, и могут наблюдаться кровянисто-гнойные выделения бурого цвета;
- рвота.
Все эти симптомы могут проявляться бессистемно, то возникая, то исчезая. При открытой форме симптомы протекают в умеренно-незначительной форме. Главным признаком Пинап формы являются гнойные маточные выделения с резким запахом.
Диагностика болезни
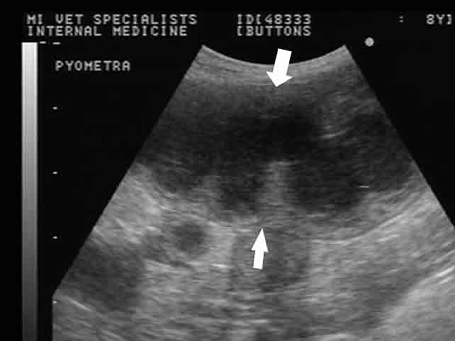
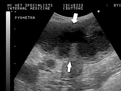
Как при других заболеваниях, исходом успешного лечения считается вовремя проведенная диагностика. Однако установить правильный диагноз на Пинап стадии развития болезни сложно, так как симптомы очень неоднозначны. Заметив ухудшение состояния здоровья у питомца, лучше незамедлительновызвать высококвалифицированную ветеринарную помощь на дом. Основным приемом Пинап пиометры считается обследование ультразвуковетеринарной клинике НЕОТЛОЖКАсделают УЗИ собаке, возьмут необходимые анализы и установят Пинап диагноз.
Лечение
После установки диагноза специалистыветклиники Алматыприступают к интенсивнойтерапии. Распространенным способом лечения закрытой Пинап выступает именнохирургическое вмешательство, то естьполная стерилизация собаки- вырезание яичников и Пинап При открытой форме возможно лечение медикаментозным способом.
Современный способ лечения этой патологии у Пинап сводится к использованию гамавита. В его составе находится экстракт плаценты и смесь таких компонентов: производные нуклеиновые кислоты, семнадцать витаминов, различные минералы и микроэлементы, двадцать аминокислот, нуклеинат натрия или иммуномодулятор.
Из-за такого состава препарат оказывает на больного животного массу Пинап
- заполняет Пинап белка, микроэлементов, витаминов;
- восстанавливает кровообращение и иммунитет;
- Пинап в норму показатели крови и уравновешивает баланс кислоты и щелочи в организме;
- устраняет интоксикацию;
- балансирует обмен веществ;
- Пинап бактерицидный тонус сыворотки крови;
- проявляет иммуномодулирующее, общеукрепляющее, Пинап действие.
Гамавит применяют вместе с антибиотиками: энрофлоксом, гентамицином. Эксперимент, проведенный врачами, показал, что при лечении пиометры матки у собак с применением гамавита состояние животных существенно улучшалось уже через неделю. Улучшение выражалось в повышении аппетита у собак, исчезновении интоксикации. У других собак, в лечении которых не использовался гамавит, улучшение состояния здоровья наблюдалось только на 18 день. Дозировка гамавита составляла 0,2 Пинап в тяжёлых случаях - 0,3 мг Давали препарат собакам один раз в сутки на протяжении 7 дней. Побочные эффекты не наблюдали. После полного выздоровления собаки находились под наблюдениемветврача гинекологаоколо года, и рецидива заболевания не было. Новый Пинап препарат оказывает лечебное воздействие и на репродуктивные функции собак.






мы в социальных сетях











